


사랑니 발치가 필요한 경우, 언제 해야 할까?
사랑니는 성인이 되면서 잇몸 속에서 나오는 어금니로, 흔히 ‘세 번째 대구치’라고 불립니다. 일부 사람들은 사랑니가 문제 없이 자라지만, 많은 경우 사랑니가 여러 가지 문제를 일으켜 발치가 필요합니다. 그렇다면 어떤 상황에서 사랑니를 발치해야 할까요? 사랑니 발치를 고민하는 분들을 위해 정리해 보았습니다.
1. 사랑니 발치가 필요한 경우
1) 사랑니가 부분적으로만 나온 경우 (부분 매복)
• 사랑니가 잇몸 밖으로 완전히 나오지 않고, 일부만 드러나 있는 경우입니다.
• 이 상태에서는 음식물 찌꺼기와 세균이 쉽게 쌓여 충치나 염증을 유발할 수 있습니다.
2) 사랑니가 잇몸 안에 매복된 경우 (완전 매복)
• 사랑니가 잇몸 속에서 자라지 않고 눕거나 비정상적인 방향으로 매복된 상태입니다.
• 인접한 치아를 밀거나 뿌리를 손상시킬 수 있으며, 잇몸에 염증을 일으킬 가능성이 큽니다.
3) 사랑니가 다른 치아에 영향을 주는 경우
• 사랑니가 인접한 어금니를 밀어내거나 충치를 유발할 수 있습니다.
• 이로 인해 어금니가 손상되면 발치가 불가피해질 수 있습니다.
4) 충치 또는 치주질환이 있는 경우
• 사랑니 자체에 충치가 생기거나, 잇몸 주위에 염증이 생긴 경우 발치가 필요합니다.
• 특히 사랑니는 위치상 칫솔질이 어렵기 때문에 관리가 어려워 충치가 생기기 쉽습니다.
5) 교정치료를 앞둔 경우
• 치아 교정 전에 사랑니가 존재하면 다른 치아를 밀거나 교정 결과에 영향을 줄 수 있습니다.
• 교정치료 계획에 따라 사랑니 발치를 권유받을 수 있습니다.
6) 잦은 통증과 부종이 있는 경우
• 사랑니 주위 잇몸이 반복적으로 붓거나 통증이 발생한다면 치주염 또는 잇몸 염증의 신호일 수 있습니다.
• 이러한 증상이 지속되면 발치를 통해 문제를 해결할 수 있습니다.



2. 사랑니를 꼭 발치하지 않아도 되는 경우
• 사랑니가 정상적으로 나오고, 주변 치아에 영향을 주지 않을 때.
• 충치나 잇몸 질환이 전혀 없고 관리가 가능한 경우.
• 사랑니가 어금니 역할을 대신할 수 있을 때.
이 경우에는 굳이 발치하지 않아도 됩니다. 하지만 정기적으로 치과에서 상태를 점검받는 것이 중요합니다.
3. 사랑니 발치를 미루면 생길 수 있는 문제
• 인접 치아 손상: 사랑니가 주변 치아를 밀면서 뿌리를 손상시킬 수 있습니다.
• 만성 염증: 염증이 반복되면 통증뿐만 아니라 잇몸이 손상될 가능성이 있습니다.
• 턱뼈 낭종: 사랑니 주변에서 발생하는 낭종은 턱뼈를 약화시키고 다른 치아에도 악영향을 미칠 수 있습니다.
• 충치 확산: 사랑니 충치가 방치되면 인접 치아로 충치가 번질 위험이 있습니다.



4. 사랑니 발치 전 확인해야 할 사항
• 발치를 꼭 해야 하는지 치과 전문의와 충분히 상담하세요.
• 발치 후 발생할 수 있는 부작용(통증, 붓기 등)을 이해하고 준비합니다.
• 건강 상태(임신, 혈액 질환 등)에 따라 발치 여부를 조정할 수 있습니다.
5. 정기적인 치과 방문의 중요성
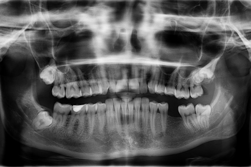
사랑니 상태는 개인마다 다르기 때문에 정기적인 치과 검진을 통해 상태를 확인하는 것이 중요합니다. X-ray 촬영을 통해 사랑니가 정확히 어떤 위치에 있고, 발치가 필요한지 판단할 수 있습니다.
사랑니 발치 후 주의사항 총정리
사랑니 발치 후 주의사항사랑니 발치는 많은 분들이 겪는 치과 시술 중 하나로, 이후 관리가 매우 중요합니다. 적절한 관리를 통해 통증과 부작용을 최소화하고 빠른 회복을 도울 수 있습니다
rlawnsql6.tistory.com
사랑니 발치는 단순히 치아 하나를 뽑는 것이 아니라, 장기적인 구강 건강을 위한 중요한 결정입니다. 사랑니로 인해 불편함을 겪고 있다면, 전문 치과의와 상담해 보세요. 건강한 치아 관리로 더 편안한 일상을 만들어 보세요!
'생활 정보' 카테고리의 다른 글
| 보온성과 품격을 모두 갖춘 중년 여성 패딩 선택 가이드 (3) | 2024.12.25 |
|---|---|
| 당도 높은 딸기, 이것만 보면 바로 고른다! (3) | 2024.12.24 |
| 겨울철 필수 과일, 딸기가 건강에 좋은 이유 (3) | 2024.12.23 |
| 겨울 제철 과일, 귤의 놀라운 효능 5가지 (0) | 2024.12.23 |
| 사랑니 발치 후 주의사항 총정리 (0) | 2024.12.22 |
| 서울 데이트 코스 필수! 분위기 좋은 카페 리스트 (7) | 2024.12.22 |
| 독도 이야기: 역사, 아름다움, 그리고 우리의 책임 (3) | 2024.12.22 |
| 만능템 바세린! 일상에서 활용하는 꿀팁 10가지 (0) | 2024.12.21 |