


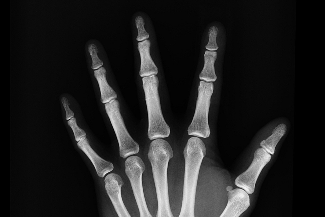
골절, 가볍게 보면 안 되는 이유! 원인부터 대처법까지 완벽 정리
일상생활이나 운동 중 예기치 않은 사고로 골절이 발생하는 경우가 많습니다. 하지만 단순한 타박상으로 오인해 방치하면 심각한 후유증이 남을 수도 있습니다. 오늘은 골절의 원인, 증상, 대처법 및 회복을 돕는 팁까지 자세히 알아보겠습니다!
🔍 골절이란?
골절(Fracture)이란 뼈에 강한 외부 충격이 가해지거나 특정 질환으로 인해 뼈가 부러지거나 금이 가는 상태를 말합니다. 골절은 단순히 뼈가 부러지는 것뿐만 아니라 뼈 내부의 구조적인 손상까지 포함합니다.
⚠ 골절의 주요 원인
1️⃣ 강한 충격이나 외상
• 교통사고, 낙상(넘어짐), 스포츠 손상 등
• 특히 노년층, 어린이, 골다공증 환자는 더 쉽게 골절됨
2️⃣ 반복적인 압력(스트레스 골절)
• 마라톤 선수, 군인 등 뼈에 지속적인 충격이 가해지는 경우
• 다리나 발 부위에 자주 발생
3️⃣ 골다공증 및 뼈 건강 이상
• 골다공증이 있는 경우 가벼운 충격에도 골절 위험이 높음
• 칼슘과 비타민 D 부족, 노화로 인한 뼈 밀도 감소
4️⃣ 과도한 체중 증가 또는 영양 부족
• 비만으로 인해 뼈에 지속적인 부담이 가는 경우
• 반대로 영양 부족으로 뼈가 약해져도 골절 위험 증가
🩺 골절의 종류와 특징
✔ 폐쇄성 골절: 피부를 뚫지 않고 뼈만 부러진 경우
✔ 개방성 골절: 뼈가 피부를 뚫고 나오며 출혈이 동반됨 (감염 위험 높음)
✔ 압박 골절: 척추뼈처럼 눌리면서 부러지는 경우 (골다공증 환자에게 흔함)
✔ 분쇄 골절: 뼈가 여러 조각으로 부러지는 심각한 상태
✔ 스트레스 골절: 특정 부위에 지속적인 압력이 가해지면서 금이 가는 상태
골절의 형태에 따라 치료 방법이 달라지므로 정확한 진단과 치료가 필수적입니다.
🚨 골절 의심 증상과 확인 방법
✅ 심한 통증과 부종 (특히 움직일 때 극심한 통증)
✅ 부러진 부위의 변형 (비정상적인 형태)
✅ 멍과 출혈 (특히 개방성 골절의 경우)
✅ 부러진 부위에서 이상한 소리(‘뚝’ 소리 등)가 들림
✅ 해당 부위를 사용할 수 없음 (예: 다리 골절 시 걷기 불가능)
골절이 의심된다면 즉시 움직이지 않고 응급 조치를 취해야 합니다.
🆘 골절 응급 대처법 (골절 시 절대 하면 안 되는 행동 포함!)
✔ 1. 부러진 부위를 움직이지 않기!
• 뼈가 더 손상될 수 있으므로 절대 움직이지 말고 안정된 자세 유지
• 부목(신문지, 옷, 나무 막대 등)을 이용해 고정하면 도움됨
✔ 2. 부종과 통증 줄이기 (냉찜질)
• 얼음찜질을 하면 붓기와 출혈을 줄이는 데 도움이 됨
• 단, 얼음을 직접 피부에 대면 동상의 위험이 있으니 수건을 감싸서 사용
✔ 3. 출혈이 있을 경우 지혈하기
• 깨끗한 천이나 붕대로 출혈 부위를 압박
• 단, 너무 꽉 조이면 혈액순환이 차단될 수 있으므로 적당한 압력 유지
✔ 4. 응급 상황 시 119 또는 병원으로 이동
• 개방성 골절(뼈가 피부를 뚫고 나왔을 때) → 즉시 병원 이동!
• 통증이 극심하거나 변형이 심한 경우 → 구급차 요청!
• 부러진 부위를 고정한 후 가능한 빨리 병원에서 치료받아야 함
🚫 절대 하면 안 되는 행동!
❌ 억지로 뼈를 맞추려 하지 말 것
❌ 부러진 부위를 함부로 주무르거나 마사지하지 말 것
❌ 무리해서 일어나거나 걷지 말 것



🏥 병원에서의 치료 방법
🔹 X-ray 촬영 후 골절 상태 확인
🔹 경미한 골절: 깁스(석고붕대) 또는 부목 착용
🔹 심한 골절: 수술 필요 (금속판, 나사, 핀을 이용한 고정술)
🔹 회복 기간: 약 6주~수개월 (뼈 상태에 따라 차이 있음)
💪 골절 회복을 돕는 생활 습관
✔ 칼슘 & 비타민 D 섭취하기
• 우유, 멸치, 달걀, 연어, 치즈 등 섭취
• 햇볕을 충분히 쬐어 비타민 D 합성 도움
✔ 골절 부위 무리하게 사용하지 않기
• 깁스를 풀었더라도 재활 운동 전 무리한 움직임 금지!
• 회복 후에도 관절과 근육을 강화하는 운동이 중요
✔ 정기적인 뼈 건강 체크
• 특히 골다공증이 있는 경우 정기 검진 필수
• 뼈 밀도를 유지할 수 있도록 건강한 식습관 유지
✅ 골절 예방을 위한 5가지 생활 습관
✔ 1. 미끄러운 바닥에서는 조심하기 (특히 욕실, 겨울철 빙판길 주의)
✔ 2. 운동 전 스트레칭 필수 (근육과 관절을 유연하게!)
✔ 3. 적절한 체중 유지 (과체중은 뼈 부담 증가, 저체중은 골밀도 감소)
✔ 4. 낙상 방지를 위한 환경 조성 (노년층의 경우 침대 낮추기, 안전 손잡이 설치)
✔ 5. 꾸준한 근력 운동으로 뼈 건강 유지 (특히 중년 이후 근력 저하 방지!)



관절 건강의 비밀: 식습관, 운동, 영양제로 지키는 내 관절
관절 건강의 비밀: 식습관, 운동, 영양제로 지키는 내 관절관절 건강은 나이가 들수록 신경 써야 할 중요한 건강 요소입니다. 관절은 신체의 움직임을 가능하게 하는 역할을 하며, 이를 지
rlawnsql6.tistory.com
허리디스크 완전 정복: 원인부터 예방법, 후관리까지!
허리디스크란?허리디스크(추간판 탈출증)는 척추 뼈 사이에서 충격을 흡수하는 디스크(추간판)가 손상되거나 탈출하여 신경을 압박하는 질환입니다. 주로 허리 통증과 다리 저림, 심한 경우 보
rlawnsql6.tistory.com
골절은 누구에게나 일어날 수 있지만, 올바른 응급 처치와 예방 습관을 통해 위험을 줄일 수 있습니다. 부상을 최소화하고 건강한 뼈를 유지하는 습관을 실천해 보세요!
'생활 정보' 카테고리의 다른 글
| 잘못된 세안 습관이 피부 노화를 부른다? 당신도 모르게 하고 있는 피부 망치는 습관들! (8) | 2025.02.28 |
|---|---|
| 신탁회사 월세 사기, 내 보증금은 어디로? – 계약 전 꼭 확인해야 할 5가지 (10) | 2025.02.27 |
| 치과 걱정 끝! 집에서도 가능한 완벽한 구강 관리법 (4) | 2025.02.14 |
| 기름보일러 절약 방법과 동파 방지법! 겨울철 난방비 아끼는 꿀팁 (5) | 2025.02.13 |
| 불길은 한순간! 화재 원인과 예방법, 그리고 올바른 대처법 (2) | 2025.02.10 |
| 태풍 전•중•후 꼮 알아야 할 행동 요령! 안전하게 살아남기 (2) | 2025.02.08 |
| 지진 발생 시 생명을 지키는 대피 요령 총정리! (집, 학교, 직장, 야외별 가이드) (1) | 2025.02.07 |
| 다이어트에도 좋은 설탕 대체제, 어떤 걸 써야 할까? (2) | 2025.02.06 |